Cellular Cannibalism in Oral Squamous Cell Carcinoma: An Overview
Role of Dentist in Disaster Management: A Review
Intraoral Scanners for Complete Dentures: A Review of Literature
Prosthodontic Rehabilitation of Atrophic Ridges: A Review
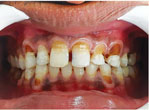
Esthetic Revival—Direct Composite Rehabilitation of Anterior Teeth: A Case Report
Fungal Osteomyelitis Involving the Maxilla with Concurrent Mycotic Infections: A Case Report
Peripheral Giant Cell Granuloma—A Diagnostic Dilemma: A Case Report
The Multidisciplinary Management of Fused Maxillary Central Incisor with Talon Cusp: A Case Report
Endodontic Management of an Uncommon Three-rooted Maxillary First Premolar: A Clinical Case Report
We use cookies on this site to enhance your user experience.
By clicking any link on this page you are giving your consent for us to set cookies.